Women of Colour Network replay: discrimination in Victorian Public Sector, Jathan Sadowski on generative AI platforms, Jane Bourke on rising concerns about silicosis in Australia & 'landlord tech' with James Clark

Thursday, 23 February 2023 - 7:00am to 8:30am
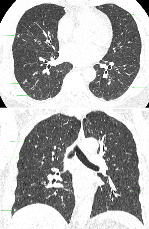
A black and white CT scan shows multiple bilateral soft tissue nodules, many of which demonstrate ground glass attenuation representing thickened bronchioles.

Acknowledgement of Country//

 

Headlines//

 

Replay of Women of Colour Network at the Womens Rights at Work Conference at the end of 2022, where they spoke about the formation of their network and the need to address discrimination in Victorian Public Sector workplaces. You can catch more industrial, social, and workplace topics from 3CR's Stick Together on Wednesday 8:30am - 9:00am. //

 

Jathan Sadowski, senior research fellow in the Emerging Technologies Research Lab at Monash University, joins us to discuss generative AI platforms, including the much-hyped DALL-E and ChatGPT, to unpack what they do, how they work, and to contextualise their development within the political economy of the modern tech industry. Alongside his academic research, Jathan co-hosts This Machine Kills, a podcast about technology and political economy.//

 

Dr Jane Bourke is Associate Professor in Pharmacology at Monash University, where she leads the Respiratory Pharmacology Group. She has a long-standing interest in the regulation of smooth muscle function in the lung and cardiovascular system, and has been leading a research program on silicosis at Monash Biomedicine Discovery Institute since the first cases in stonemasons working with engineered stone were reported in Australia. Today Jane joins us to discuss rising concerns about silicosis in Australia and the precautions we should be taking to protect ourselves, at an individual and regulatory scale.//

 

James Clark, Executive Director of Digital Rights Watch, speaks with us about the use in Australia of "landlord tech" such as Snug, which has attracted scrutiny after revelations about its dubious method of "scoring" of rental applications in a Guardian exclusive late last year. Most recently, Snug has been engaged by Homes Victoria to develop a platform to allocate affordable housing in the state via random ballot, raising additional concerns about the nature and use of this technology.//

 

Songs//

 

Eventually - Miiesha//

 

Big Titties - Djanaba//

 

P Stands for Playa - Pania//

 

SMILE (feat. Jam) - Tseba//